A recent scientific revelation has identified a ‘third state’ that exists in the liminal space between life and death, a state that some experts argue may imply a level of consciousness within our cellular structure. This discovery prompts a radical reconsideration of our understanding of life, death, and consciousness, and may have profound implications for future biological and medical research.
Understanding the ‘Third State’

The ‘third state’ is a unique existence that appears to exist between traditional definitions of life and death. It has been identified through rigorous scientific research and exploration, and challenges our conventional understanding of these binary states. This ‘third state’ is not merely a state of dormancy or hibernation, but rather a distinct physiological condition that some organisms can enter and exit.
Various organisms, such as the resilient tardigrades, are known to exhibit this ‘third state’. These creatures can suspend their metabolism and enter a death-like state, only to revive once environmental conditions become favorable again. This astonishing ability is a living testament to the existence of this ‘third state’.
Implications for the Concept of Life and Death

This discovery profoundly challenges our conventional definitions of life and death. It expands our understanding of existence beyond the binary states, suggesting that life and death might be part of a spectrum rather than a switch. This shift in perspective may necessitate a reevaluation of various medical and biological concepts.
For example, the medical field, especially in areas like organ transplantation, might have to reconsider current practices. Organs that were previously considered ‘dead’ might be in the ‘third state’, and could potentially be revived for transplantation. However, this new understanding also raises significant ethical and moral considerations. These include questions about when life truly ends, and what it means to be alive or dead.
Cellular Consciousness: An Emerging Theory

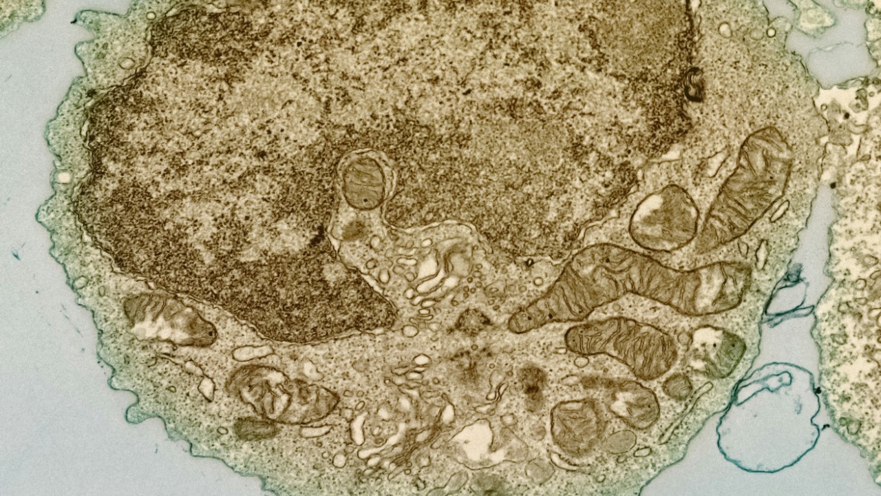
The theory of cellular consciousness postulates that individual cells might possess a degree of consciousness. This concept suggests that cells could have a level of awareness or perception, allowing them to react to their surroundings in a manner that is typically associated with conscious beings.
Some evidence supporting this theory includes the intricate communication networks that cells form, their ability to respond to environmental changes, and the way they adapt to ensure survival. However, this theory is not without critiques and counterarguments. Critics argue that these behaviors could simply be the result of complex biochemical processes rather than indicative of consciousness.
Exploring Cellular Behavior in the ‘Third State’

Investigating how cells behave in this ‘third state’ could provide valuable insights into the theory of cellular consciousness. Cells in this state may exhibit behaviors that suggest a level of awareness or reactivity that extends beyond mere biochemical responses.
Current research is attempting to decode the mysteries of cellular behavior in the ‘third state’. These studies are crucial in addressing unanswered questions and understanding the potential implications of this state for cellular consciousness. The ongoing research is opening new doors for understanding life, death, and consciousness.
Implications for Future Biological and Medical Research

This discovery and the emerging theory of cellular consciousness could significantly influence future research directions. They offer a new perspective that could help unravel mysteries about life, death, and consciousness that have puzzled scientists for centuries.
Moreover, these revelations could have profound applications for medical treatments. For instance, understanding the “third state” and cellular consciousness could improve organ preservation methods, boost success rates in transplantation, and even have implications for treating degenerative diseases. The broader impact on our understanding of life, death, and consciousness is profound, and the future of research in this area is promising and exciting.