Morning Overview

New brain imaging spots dementia years before symptoms

Scientists have unveiled a groundbreaking new imaging technique designed to detect frontotemporal dementia long before clinical symptoms emerge, offering potential for transformative early interventions in neurodegenerative disease management. This revelation, reported on October 17, 2025, highlights a critical advancement in medical imaging for one of the most challenging forms of dementia. The technique targets the brain’s subtle early changes, potentially altering the trajectory for patients and families affected by the condition. Source.

Background on Frontotemporal Dementia

Frontotemporal dementia (FTD) is a progressive brain disorder that primarily affects behavior, personality, and language. Unlike Alzheimer’s disease, which is more commonly associated with memory loss, FTD manifests through significant changes in social conduct and communication abilities. These symptoms arise due to the degeneration of neurons in the frontal and temporal lobes of the brain, areas responsible for decision-making, emotional regulation, and language processing.

The diagnostic challenges of FTD are considerable, as current methods largely depend on the observation of late-stage symptoms. This reliance on visible signs means that by the time a diagnosis is made, significant brain damage has often already occurred. The absence of reliable pre-symptomatic tools has made early detection elusive, complicating efforts to intervene before the disease progresses. This is particularly concerning given that FTD often strikes individuals at a younger age than other forms of dementia, typically affecting those in their 50s and 60s.

Statistics indicate that FTD accounts for approximately 10-20% of all dementia cases, with a notable prevalence among younger populations. Risk factors include genetic mutations, family history, and certain environmental influences. The impact on patients and their families can be profound, as the disease not only affects cognitive function but also alters personality and behavior, leading to significant social and emotional challenges.

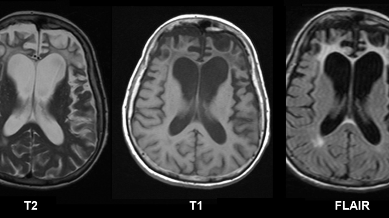
The New Imaging Technique Unveiled

The newly unveiled imaging technique represents a significant leap forward in the early detection of frontotemporal dementia. This advanced method utilizes cutting-edge imaging technology to identify indicators of FTD long before clinical symptoms manifest. According to the announcement made on October 17, 2025, the technique focuses on visualizing subtle brain abnormalities in the frontal and temporal lobes, which are the primary regions affected by the disease. Source.

The specificity of this technology lies in its ability to detect minute changes in brain structure and function that precede symptom onset. By targeting these early indicators, the technique offers the potential to alter the disease’s trajectory through timely intervention. The development process involved several key research milestones, including the refinement of imaging protocols and the identification of specific biomarkers associated with FTD. These advancements have culminated in a tool that promises to revolutionize how clinicians approach the diagnosis and management of this challenging condition.

How the Technique Detects Early Changes

The imaging process begins with patient preparation, ensuring that individuals are ready for the non-invasive procedure. Once the imaging is underway, the technique focuses on identifying specific biomarker targets, such as protein accumulations or shifts in neural connectivity, which are indicative of frontotemporal dementia in its asymptomatic stages. This approach allows for the detection of the disease long before it strikes, providing a crucial window for early intervention. Source.

Compared to existing methods like MRI or PET scans, this new technique offers significant improvements in sensitivity and non-invasiveness. Traditional imaging methods often struggle to detect the subtle changes associated with early-stage FTD, leading to delays in diagnosis and treatment. By contrast, the new technique provides a more detailed and accurate picture of the brain’s condition, enabling clinicians to make informed decisions about patient care.

Implications for Treatment and Research

The implications of this new imaging technique for treatment and research are profound. Early detection of frontotemporal dementia could pave the way for preventive therapies that halt or slow the disease’s progression before it strikes. This proactive approach has the potential to transform patient outcomes, offering hope for those at risk of developing FTD. Source.

Beyond individual patient care, the technique’s broader impacts include the development of personalized treatment plans and a reduction in caregiver burden. By providing pre-symptomatic insights, clinicians can tailor interventions to the specific needs of each patient, improving quality of life and potentially delaying the onset of debilitating symptoms. This personalized approach also extends to caregivers, who can benefit from a clearer understanding of the disease’s trajectory and the support needed to manage its effects.

Ongoing trials are exploring the scalability of this technique, with plans for wider adoption following the October 17, 2025, revelation. Researchers are optimistic that the technology will become a standard tool in the early detection of frontotemporal dementia, offering a new frontier in the fight against neurodegenerative diseases. As the technique becomes more widely available, it holds the promise of reshaping the landscape of dementia care, providing hope for patients and families affected by this challenging condition.