
A groundbreaking study led by Associate Professor Alissa M. Wright from the University of Queensland has uncovered significant findings in the brains of stranded cetaceans. Examining 51 dolphins and whales that washed ashore on Australian beaches between 2008 and 2023, researchers identified Alzheimer’s-like neurodegeneration in 44% of the specimens. This discovery, highlighting the presence of amyloid-beta plaques and hyperphosphorylated tau proteins, suggests potential environmental factors accelerating such conditions in marine mammals. The implications of these findings are profound, raising questions about the health of ocean ecosystems and the impact of human activities.
The Study’s Methodology and Scope

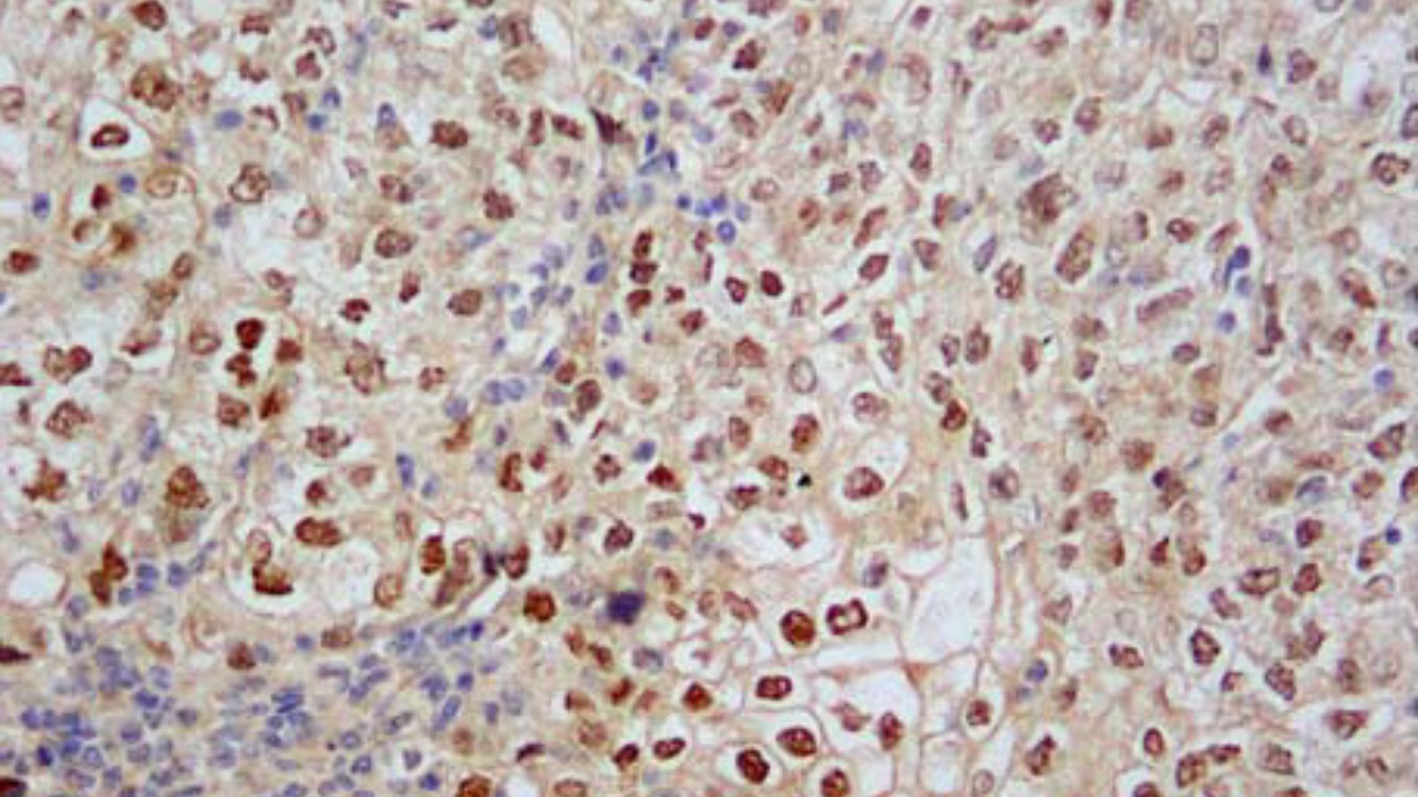
The research team employed rigorous postmortem analysis techniques to investigate the brains of 51 cetaceans, consisting of 32 dolphins and 19 whales. Utilizing immunohistochemistry, they detected amyloid plaques and tau tangles, which are indicative of Alzheimer’s disease, in the brain tissues collected from stranding events along eastern Australia. This method allowed for precise identification of neurodegenerative markers, providing a clear picture of the pathological changes occurring in these animals [ScienceAlert].
Specimens were carefully selected based on specific criteria to ensure the viability of the tissue samples. The study focused on animals that were either beached alive or had recently died, with the age range of affected dolphins spanning from juveniles to adults over 40 years old. This approach ensured that the findings were not confounded by postmortem decay, allowing for more accurate assessments of the neurodegenerative processes [IFLScience].
To control for potential confounding factors, the researchers cross-referenced their findings with veterinary records from each stranding event. This step was crucial in ruling out other causes of death, such as bacterial infections or physical trauma, thereby strengthening the link between the observed brain changes and Alzheimer’s-like pathology [HealthDay].
Pathological Findings in Dolphin Brains

The study revealed that 14 out of 32 dolphin brains, or 44%, exhibited Alzheimer’s-like changes, including the presence of amyloid-beta plaques in critical regions such as the hippocampus and entorhinal cortex, alongside tau neurofibrillary tangles. These findings are significant as they mirror the pathological features seen in human Alzheimer’s disease, suggesting a similar disease process may be occurring in these marine mammals [Phys.org].
One notable example from the study involved a 35-year-old bottlenose dolphin found on Queensland beaches, which showed severe neuronal loss and gliosis. This case was particularly striking as it mirrored stage 5 Braak tau pathology in humans, indicating advanced neurodegeneration. Such findings underscore the severity of the condition in affected dolphins and raise concerns about the potential impact on their cognitive and behavioral functions [New Atlas].
The distribution of lesions was notably concentrated in memory-related regions like the neocortex. This pattern correlated with behavioral disorientation observed in 60% of the stranded cases prior to death, suggesting that these neurodegenerative changes may have contributed to the animals’ stranding events. The implications for dolphin populations are concerning, as such cognitive impairments could affect their ability to navigate and forage effectively [ScienceAlert].
Comparisons to Human Alzheimer’s Disease

The pathological features observed in the cetacean brains closely resemble those found in human Alzheimer’s disease. The study confirmed that the molecular structures of amyloid-beta 42 peptides and tau phosphorylation sites in dolphins are identical to those in humans, as verified through mass spectrometry. This similarity suggests that dolphins may be susceptible to similar protein misfolding diseases, highlighting an intriguing evolutionary parallel [IFLScience].
Dolphins possess large, gyrified brains, weighing up to 1,600 grams, which share neuroanatomical features with humans. This anatomical similarity may predispose them to Alzheimer’s-like diseases, as their complex brain structures could facilitate the accumulation of misfolded proteins. However, the progression of the disease in dolphins appears to be faster, possibly due to their shorter lifespans. Affected individuals showed symptoms equivalent to human mild cognitive impairment within 5 to 10 years, indicating a rapid disease course [HealthDay].
Potential Environmental Triggers

The study explored potential environmental triggers that might contribute to the development of Alzheimer’s-like pathology in dolphins. Elevated levels of persistent organic pollutants, such as PCBs, were detected in 70% of the affected dolphin brains. These pollutants are known to disrupt amyloid clearance mechanisms, potentially exacerbating the accumulation of amyloid-beta plaques [Phys.org].
Additionally, the presence of algal toxins from harmful blooms, such as domoic acid residues, was found in three stranded dolphins with concurrent Alzheimer’s pathology. This finding suggests a possible neuroinflammatory synergy, where environmental toxins may trigger or accelerate neurodegenerative processes. The role of acoustic stress from shipping and sonar was also examined, with higher tangle densities observed in dolphins from busy coastal zones like the Great Barrier Reef, indicating that noise pollution could be a contributing factor [ScienceAlert].
Implications for Conservation and Research

The implications of these findings for conservation efforts are significant. The study recommends expanded monitoring of cetacean strandings for neurodegenerative biomarkers to track the spread of the disease in populations such as the Indo-Pacific bottlenose dolphin. This approach could provide valuable insights into the health of marine mammal populations and inform conservation strategies [HealthDay].
Future research directions include longitudinal tracking via blubber biopsies for early tau detection and comparative genomics with human Alzheimer’s models. These efforts could enhance our understanding of the disease mechanisms and identify potential intervention strategies. The broader ecological warnings are clear: Alzheimer’s-like diseases could impair foraging and social behaviors, threatening species survival amid climate change. This study underscores the urgent need to address environmental factors contributing to neurodegenerative diseases in marine ecosystems [Phys.org].