
Scientists at Harvard University and Google have achieved a groundbreaking milestone by utilizing artificial intelligence to create the first comprehensive map of a cubic millimeter of mouse brain tissue. This effort uncovered previously uncharted neural connections in the mesopontine tegmentum, a region involved in arousal and locomotion. As part of the BRAIN Initiative launched in 2013, the project involved analyzing over 100,000 neurons and millions of synapses using advanced machine learning algorithms to process vast electron microscopy data (Live Science).
Background on Mouse Brain Mapping Challenges

Mapping the intricate regions of the brain has historically posed significant challenges due to the complexity of neural wiring. Traditional methods, such as manual tracing, have been limited to small areas, resulting in slow progress over decades. This has been particularly evident in the effort to complete even partial connectomes, which are comprehensive maps of neural connections (Live Science). The mouse brain, often used as a model organism, presents a unique opportunity to explore these complexities. The mesopontine tegmentum, a region previously lacking detailed structural data, plays critical roles in functions like arousal and locomotion (Neuroscience News).
The scale of the dataset used in this mapping project is immense, involving 5,000 terabytes of imaging data from serial section electron microscopy conducted at Harvard’s Lichtman Lab. This massive dataset underscores the challenges faced in traditional brain mapping efforts and highlights the transformative potential of AI in overcoming these obstacles (Live Science).
AI Techniques Employed in the Mapping Process

To tackle the complexity of brain mapping, researchers employed deep learning models, such as flood-filling networks, which automatically segment and trace neural structures. This approach significantly reduces the time required for mapping from years to mere weeks, showcasing the efficiency of AI in handling such intricate tasks (Neuroscience News). The collaboration between Google Research and Harvard was instrumental in adapting AI tools from the Google FloodNet project to identify over 1 billion synapses in the mouse brain sample (Live Science).
The mapping process also included a crucial proofreading stage, involving both AI validation and human oversight to ensure accuracy in reconstructing 3D neural pathways. This combination of AI and human expertise highlights the importance of precision in neuroscience research, as even minor errors can lead to significant misinterpretations of neural structures (Neuroscience News).
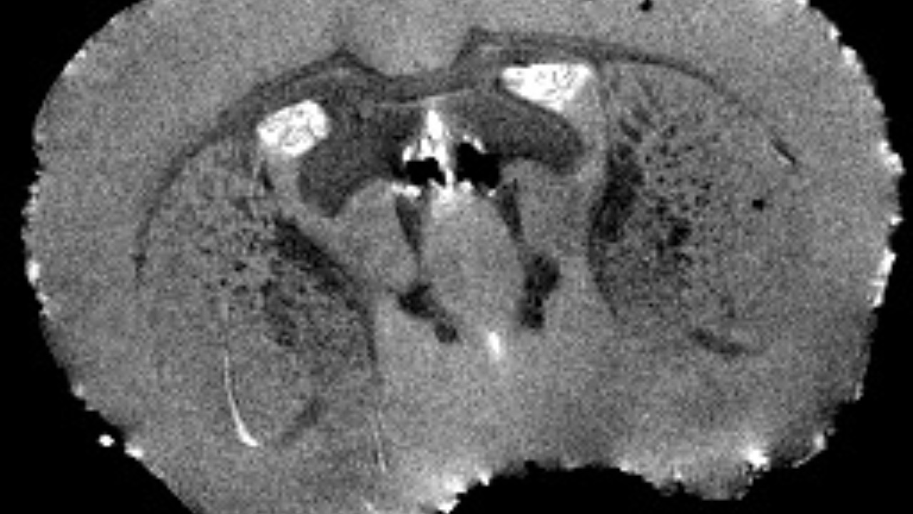
Key Discoveries from the AI-Generated Map

The AI-generated map led to several novel discoveries, including the identification of rare neural cell types and unexpected synaptic connections in the mesopontine tegmentum. These findings could have implications for understanding sleep-wake cycles and other neurological functions (Live Science). Quantitative insights from the study revealed the mapping of 150,000 cells and 200 million synapses within the 1 mm³ volume, indicating a denser neural wiring than previously anticipated (Neuroscience News).
These discoveries hold significant implications for understanding brain disorders. According to lead researcher Lichtman, these detailed maps could inform models of neurological conditions like Parkinson’s disease, potentially leading to new therapeutic strategies and a deeper understanding of these complex disorders (Live Science).
Implications for Future Neuroscience Research

This AI-driven approach to brain mapping offers promising potential for scaling to larger brain areas. Under the BRAIN Initiative, there are plans to map the entire mouse brain within the next decade, which could revolutionize our understanding of neural networks and their functions (Neuroscience News). Additionally, there are potential extensions to human brain mapping, with collaborations like the NIH’s BRAIN 2021 project aiming to adapt these tools for primate studies (Live Science).
However, this advancement also brings ethical and technical challenges. Data privacy in AI neural datasets and the need for standardized validation protocols across labs are critical considerations that must be addressed to ensure the responsible use of AI in neuroscience research (Neuroscience News). As the field progresses, these challenges will need to be navigated carefully to maximize the benefits of AI-driven brain mapping while minimizing potential risks.