-

SpaceX hits 165 orbital launches in 2025, shattering records again
Read More: SpaceX hits 165 orbital launches in 2025, shattering records againSpaceX closed out 2025 with a blistering launch tempo that pushed orbital rocketry into territory that once sounded like science…
-

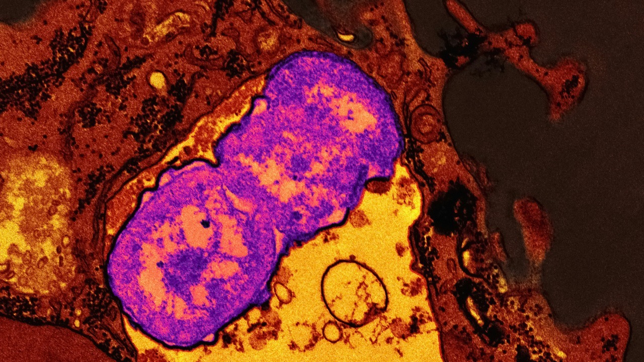
Scientists link 2 cancer hallmarks in a way no one expected
Read More: Scientists link 2 cancer hallmarks in a way no one expectedCancer researchers have long treated genetic chaos and epigenetic rewiring as separate engines of disease, two parallel hallmarks that help…
-

Gamers panicking as Nvidia and AMD GPU prices soar
Read More: Gamers panicking as Nvidia and AMD GPU prices soarGraphics card prices are spiking again, and this time the anxiety feels different. Instead of a short‑term crypto bubble or…
-

A Yellow Brick Road was found on the seafloor, and it’s real
Read More: A Yellow Brick Road was found on the seafloor, and it’s realFar below the waves of the Pacific Ocean, cameras on a research vessel recently swept across something that looked impossible:…
-

China’s hypergravity monster turns centuries of testing into days
Read More: China’s hypergravity monster turns centuries of testing into daysChina has built a machine that treats gravity like a dial, not a constant, turning the pull we feel on…
-

Sleep could beat diet and exercise for living longer
Read More: Sleep could beat diet and exercise for living longerSleep has long been treated as the optional third pillar of health, something to squeeze in around a “real” wellness…
-

Myanmar quake moved “too smoothly,” and that’s bad news for the US
Read More: Myanmar quake moved “too smoothly,” and that’s bad news for the USThe giant earthquake that ripped through central Myanmar earlier this year did something seismologists rarely see: it slid along a…
-

Moon mining is heating up, but rules are dangerously missing
Read More: Moon mining is heating up, but rules are dangerously missingThe Moon is shifting from a distant backdrop to a very real industrial frontier, with governments and companies racing to…
-

Porsche recalls 174,000 US cars after backup camera failures
Read More: Porsche recalls 174,000 US cars after backup camera failuresPorsche is recalling a large slice of its U.S. fleet after discovering that backup cameras in several popular models can…
-

NASA says KSC needs drone detection before disaster strikes
Read More: NASA says KSC needs drone detection before disaster strikesNASA is quietly racing to close a dangerous gap in its launch security, warning that Kennedy Space Center needs a…








